Licht
Dunkel
System
Home
Seiten
Gruppen
Veranstaltungen
Videos
Audio
Alben
Umfragen
Marktplätze
Blogs
Foren
Filter
Show results from selected filters below:
Check All
|
Uncheck All
Diskussionen
Blogs
Alben
Audiodateien
Veranstaltungen
Gruppen
Marktplatz
Seiten
Fotos
Mitglieder
Videos
Kategorie
Tag
Search...
Suggested keywords
Search
x
Search
Sign In
Sign in to your account
If you are new here please
register for an account
Dein Benutzername oder Deine E-Mail Adresse
Password
Keep me logged in
Sign In
'Sign in with Facebook'
'Sign in with Google'
Forgot username?
Forgot password?
Sprache auswählen
Deutsch
Italiano
Français
Español
Deutsch
×
Please login using the form below
Cover wird geladen ...
Cover verschieben um es neu zu positionieren.
[email protected]
General
Zuletzt online gesehen,
vor 3 Monaten
Aktivitäten
Information
Freunde
Anhänger
Videos
Alben
Audiodateien
Seiten
Gruppen
Marktplatz
Veranstaltungen
Umfragen
Zurück zum Album
[email protected]
Im Album
Profilbilder
Foto teilen
Original anzeigen
Foto herunterladen
Schicken
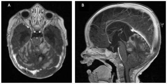
Brain Tumor
5 August 2025
·
vor 3 Monaten
Fehler beim Laden das Tooltip.