Light
Dark
System
Home
Pages
Groups
Events
Videos
Audios
Albums
Polls
Marketplaces
Blogs
Forums
Filter
Show results from selected filters below:
Check All
|
Uncheck All
Discussions
Blogs
Albums
Audio
Events
Groups
Marketplace
Pages
Photos
People
Videos
Category
Tag
Search...
Suggested keywords
Search
x
Search
Sign In
Sign in to your account
If you are new here please
register for an account
Your username or email address
Password
Keep me logged in
Sign In
'Sign in with Facebook'
'Sign in with Google'
Forgot username?
Forgot password?
Select your language
Italiano
Français
Español
Deutsch
Loading cover...
Drag cover to reposition
coherentMI@13
General
Last seen online,
3 months ago
Timeline
About
Friends
Followers
Videos
Albums
Audio
Pages
Groups
Marketplace
Events
Polls
Back to album
Load more
coherentMI@13
From album
Avatar Photos
Share Photo
View Original
Download photo
Send
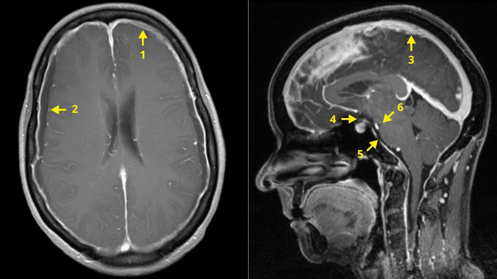
Liquorverlustsyndrom-Beurteilungsschema
4 August 2025
·
3 months ago
Unable to load tooltip content.