Luce
Buio
Sistema
Home
Pagine
Gruppi
Eventi
Video
Audio
Album
Sondaggi
Mercati
Blogs
Forum
Filter
Show results from selected filters below:
Check All
|
Uncheck All
Discussioni
Blog
Album
Audio
Eventi
Gruppi
Marketplace
Pagine
Foto
Persone
Video
Categoria
Tag
Search...
Suggested keywords
Search
x
Search
Sign In
Sign in to your account
If you are new here please
register for an account
Il tuo nome utente o indirizzo email
Password
Keep me logged in
Sign In
'Sign in with Facebook'
'Sign in with Google'
Forgot username?
Forgot password?
Seleziona la tua lingua
Italiano
Italiano
Français
Español
Deutsch
English
Caricamento copertina...
Trascinare la copertina per riposizionarla
coherentMI@13
General
Ultima visita,
2 mesi fa
Diario
info
Amici
Follower
Video
Album
Audio
Pagine
Gruppi
Marketplace
Eventi
Sondaggi
Torna agli album
Carica Altro
coherentMI@13
Dall'album
Foto Avatar
Condividi foto
Vedi l'Originale
Scarica foto
Inviare
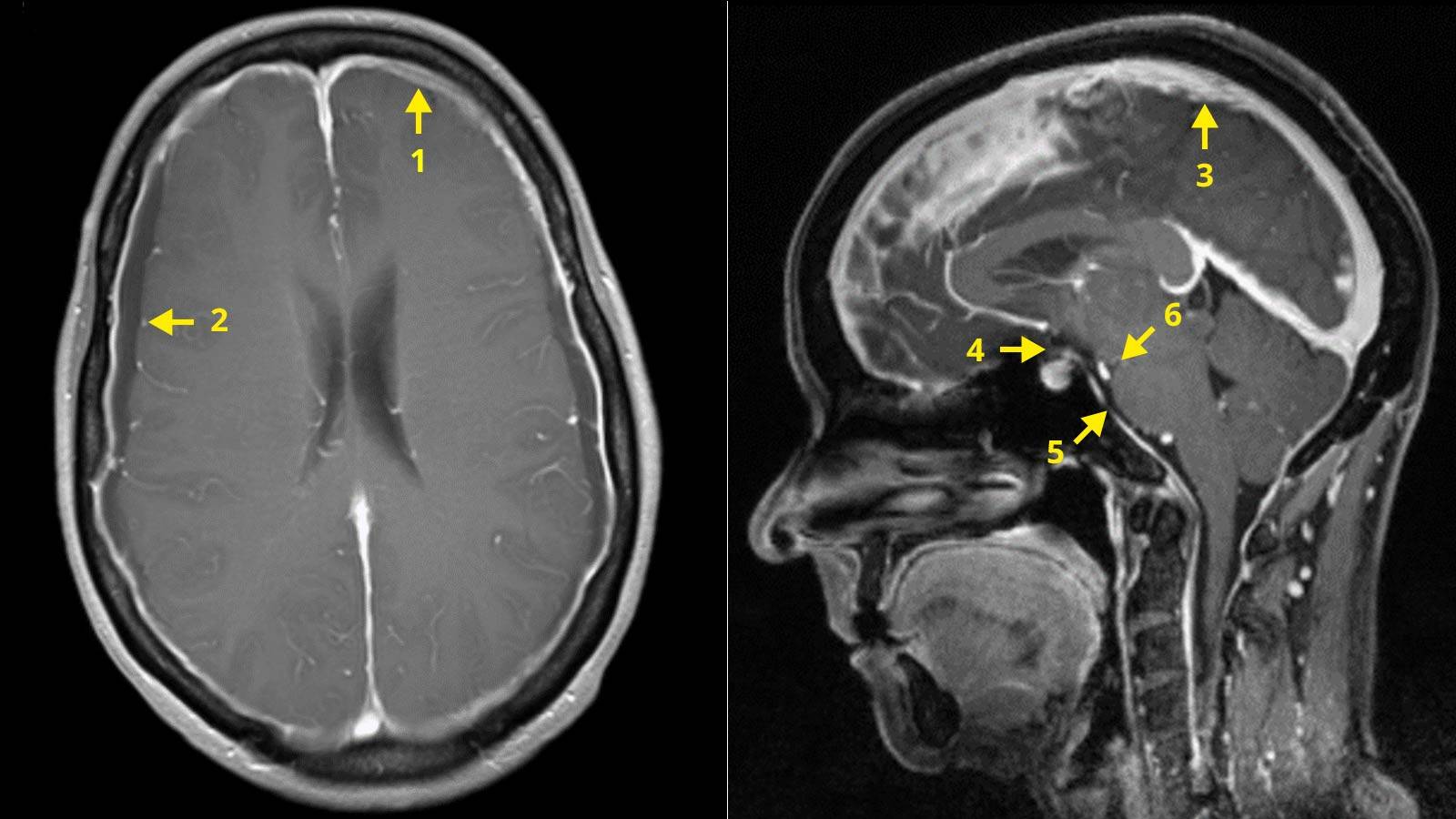
Liquorverlustsyndrom-Beurteilungsschema
4 Agosto 2025
·
2 mesi fa
Impossibile caricare il contenuto del tooltip.